医网首页|就医指南|疾病大全|妇科病|男科病|产科病|皮肤病|不孕不育|整形美容|两性|女性|男性|母婴|老人|图库|问答|病友论坛|快讯
首页  > 外科疾病 > 骨科 > 骨折

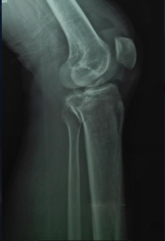
左膝盖骨折 问题已结束讨论

基本信息:男    47岁

病情描述:(发病时间.主要症状.就诊医院等)
骑电动车摔伤,左膝盖肿胀,现在五个脚趾都还能动

曾经治疗情况和效果:
已经,四天了,在医院打了些消炎针,现在还住在医院

想得到怎样的帮助:
这属于什么情况,严不严重,希望提出具体治疗方案。谢谢!

我来回答
相关图片:

提问时间:2015-07-17 18:01:42
我也要提问相关问题:左膝盖骨折
因不能面诊,医生的建议仅供参考!共有2条医生回复
王医生职称:医师

向我提问已帮助用户:21840  

您好,请问疼痛程度严重吗?一般骨折的话患者是无法承受那种疼痛的。通常这个时候就可能导致患者出现膝关节肿胀或者膝关节活动障碍等情况,从理论上说,可能还是需要进行手术治疗

2015-07-20 17:00

刘荣贵职称:医师

向我提问已帮助用户:1002  

你好!你有胫腓骨的骨折的情况,没有伤口属于闭合性骨折的情况,给予手术复位内固定手术,利于骨质的愈合及功能的恢复。膝关节里面有前后交叉韧带、半月板、内外侧副韧带是在膝关节腔里面的,不是在骨头的外面,要应用膝关节镜检查才能看见。<br />

2015-07-20 17:42

最新保健资讯
疾病相关资讯

推荐医院

专家免费在线问诊

覃兆科医生 
 
覃兆科副主任医师
擅长:擅长急诊、内科疾病以及各种内科疑难杂症的诊治[详细]

立即免费咨询

  
  
  
李秀梅医生
  
李秀梅主任医师
擅长:治疗各种妇科炎症、妇科肿瘤、子宫内膜异位症、不孕症等[详细]

立即免费咨询

  
  
  

  
姜希林主任医师
擅长:消化道肿瘤、内分泌、血液、呼吸等内科病的诊治[详细]

立即免费咨询

  

 

预测宝宝血型

你的血型是
你的配偶血型是

请选择你的血型和你配偶的血型,然后点击查看!